Items filtered by date: November 2025
Understanding Sever’s Disease in Growing Feet

Sever’s disease is a common cause of heel pain in active children and adolescents, especially during growth spurts when the heel bone develops faster than the surrounding muscles and tendons. This condition is caused by inflammation of the growth plate at the back of the heel, often triggered by repetitive stress from running, jumping, or playing sports. It may look like slight swelling or redness around the heel, and it often feels like sharp or aching pain that worsens with activity and improves with rest. Some children may limp or avoid putting pressure on the affected foot. A podiatrist can provide an accurate diagnosis by examining the heel and assessing gait or footwear concerns. Treatment may include activity modification, stretching exercises, heel cushions, or supportive custom orthotics to reduce stress on the growth plate. These strategies help relieve pain and promote healthy development. If your child experiences persistent heel discomfort, it is suggested that you make an appointment with a podiatrist.
Sever's disease often occurs in children and teens. If your child is experiencing foot or ankle pain, see Dr. Anna Petrov from Family Foot & Ankle Care. Our doctor can treat your child’s foot and ankle needs.
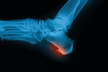
Sever’s Disease
Sever’s disease is also known as calcaneal apophysitis, which is a medical condition that causes heel pain I none or both feet. The disease is known to affect children between the ages of 8 and 14.
Sever’s disease occurs when part of the child’s heel known as the growth plate (calcaneal epiphysis) is attached to the Achilles tendon. This area can suffer injury when the muscles and tendons of the growing foot do not keep pace with bone growth. Therefore, the constant pain which one experiences at the back of the heel will make the child unable to put any weight on the heel. The child is then forced to walk on their toes.
Symptoms
Acute pain – Pain associated with Sever’s disease is usually felt in the heel when the child engages in physical activity such as walking, jumping and or running.
Highly active – Children who are very active are among the most susceptible in experiencing Sever’s disease, because of the stress and tension placed on their feet.
If you have any questions, please feel free to contact one of our offices located in Wheeling and Chicago, IL . We offer the newest diagnostic and treatment technologies for all your foot care needs.
Mistaking an Ankle Sprain and a Fracture

An ankle sprain and a fracture can feel very similar, making it easy to mistake one for the other. Both ankle injuries cause pain, swelling, and bruising, but a fracture involves a break in one or more bones. Fractures of the talus, fibula, or calcaneus bones can occur from a twisting injury, fall, or sudden impact. The resulting pain is often severe causing difficulty while bearing weight. Unlike a sprain, a fracture can produce sharp tenderness over a specific bone, and movement of the ankle may cause intense pain. If left untreated, a fracture that is mistaken for a sprain can result in joint stiffness, deformity, or long-term instability that affects the ability to walk. A podiatrist can evaluate the injured ankle through X-rays or other imaging tests and recommend the treatment that fits the injury. If you have injured your ankle, it is suggested that you schedule an appointment with a podiatrist for a diagnosis and appropriate treatment options.
Although ankle sprains are common, they aren’t always minor injuries. If you need your ankle injury looked at, contact Dr. Anna Petrov from Family Foot & Ankle Care. Our doctor can provide the care you need to keep you pain-free and on your feet.
How Does an Ankle Sprain Occur?
Ankle sprains are the result of a tear in the ligaments within the ankle. These injuries may happen when you make a rapid shifting movement while your foot is planted. A less common way to sprain your ankle is when your ankle rolls inward while your foot turns outward.
What Are the Symptoms?
- Pain at the sight of the tear
- Bruising/Swelling
- Ankle area is tender to touch
- In severe cases, may hear/feel something tear
- Skin discoloration
Preventing a Sprain
- Wearing appropriate shoes for the occasion
- Stretching before exercises and sports
- Knowing your limits
Treatment of a Sprain
In many cases, the RICE method (Rest, Ice, Compression, and Elevate) is used to treat ankle sprains. However, you should see a podiatrist to see which treatment option would work best with your injury. In severe cases, surgery may be required.
It is important to ask your doctor about rehab options after you receive treatment for your injury. Stretching, strength training, and balance exercises may help the ankle heal while also preventing further injury.
If you have any questions, please feel free to contact one of our offices located in Wheeling and Chicago, IL . We offer the newest diagnostic and treatment technologies for all your foot care needs.
Are Bunions Affecting Your Everyday Life?
Types of Bone Spurs in the Feet

Bone spurs in the feet, also called osteophytes, form when the body produces extra calcium in response to stress, friction, or inflammation. These growths are not always painful, but they can interfere with nearby tissues and cause discomfort. Heel spurs are one of the most common types. They develop beneath the heel bone from strain on the plantar fascia or at the back of the heel due to tension from the Achilles tendon. Tarsal spurs occur in the midfoot, either on the top or bottom, and often make wearing shoes painful because of pressure against the spur. Toe joint spurs typically affect the big toe, leading to stiffness, limited motion, and pain while walking, especially when arthritis is present. A podiatrist can determine the cause of the bone spur, relieve pressure on surrounding structures, and recommend treatment. If you are experiencing foot or heel pain, it is suggested that you schedule an appointment with a podiatrist for an exam and appropriate treatment.
Foot Pain
Foot pain can be extremely painful and debilitating. If you have a foot pain, consult with Dr. Anna Petrov from Family Foot & Ankle Care. Our doctor will assess your condition and provide you with quality foot and ankle treatment.
Causes
Foot pain is a very broad condition that could be caused by one or more ailments. The most common include:
- Bunions
- Hammertoes
- Plantar Fasciitis
- Bone Spurs
- Corns
- Tarsal Tunnel Syndrome
- Ingrown Toenails
- Arthritis (such as Gout, Rheumatoid, and Osteoarthritis)
- Flat Feet
- Injury (from stress fractures, broken toe, foot, ankle, Achilles tendon ruptures, and sprains)
- And more
Diagnosis
To figure out the cause of foot pain, podiatrists utilize several different methods. This can range from simple visual inspections and sensation tests to X-rays and MRI scans. Prior medical history, family medical history, and any recent physical traumatic events will all be taken into consideration for a proper diagnosis.
Treatment
Treatment depends upon the cause of the foot pain. Whether it is resting, staying off the foot, or having surgery; podiatrists have a number of treatment options available for foot pain.
If you have any questions, please feel free to contact one of our offices located in Wheeling and Chicago, IL . We offer the newest diagnostic and treatment technologies for all your foot care needs.


